332 North York St., Elmhurst, IL 60126

Why Patients Choose Our Elmhurst Dental Office
Choosing the right dentist in Elmhurst is important for your long-term oral health. At Cosmos Modern Dental, we combine advanced technology, compassionate care, and personalized treatment plans to create a comfortable dental experience for every patient.
At Cosmos Modern Dental - Elmhurst, we are proud to provide comprehensive dental care in a welcoming and modern environment. Whether you need preventive care, cosmetic treatments, restorative dentistry, or emergency dental services, our experienced team is committed to helping you achieve a healthy, confident smile.
As a trusted Cosmos Modern Dental - Elmhurst, we focus on personalized treatment plans, advanced technology, and compassionate care for patients of all ages. If you are searching for an experienced Elmhurst Dentist or a reliable Dentist Elmhurst families trust, our team is here to provide the exceptional care you deserve.
Personalized Dental Care for Every Patient
Personalized Dental Care for Long-Term Oral Health
At Cosmos Modern Dental Elmhurst, we have created beautiful smiles and boosted the confidence of countless patients in our community. When you choose us, you're not just improving your smile—you’re becoming part of our extended family.
If you're looking for a dentist you can trust, our team is committed to providing personalized, high-quality care using modern technology and advanced techniques. As a leading Dentist patients rely on, we offer flexible treatment plans tailored to your unique oral health needs.
From orthodontics to periodontics, our comprehensive services are designed to restore, repair, and enhance your smile. Let our experienced Dentist Elmhurst evaluate your dental health and recommend the right solutions to help you achieve lasting confidence.
Comprehensive Family & Cosmetic Dentistry in Elmhurst
At Cosmos Modern Dental Elmhurst, we offer a comprehensive range of dental care services all under one roof. Our services include preventive care, restorative dentistry, oral surgery, endodontic and periodontal treatments, cosmetic dentistry, and much more.
Call 630-491-5605 to book your appointment with our Elmhurst dentist. Trust Dr. Michael Cosmos to address your concerns and help you achieve a healthy, radiant, straight smile.
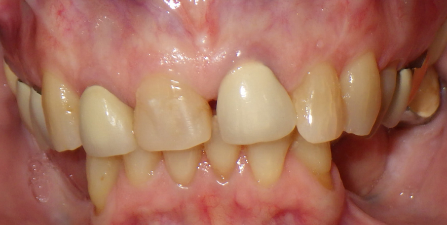
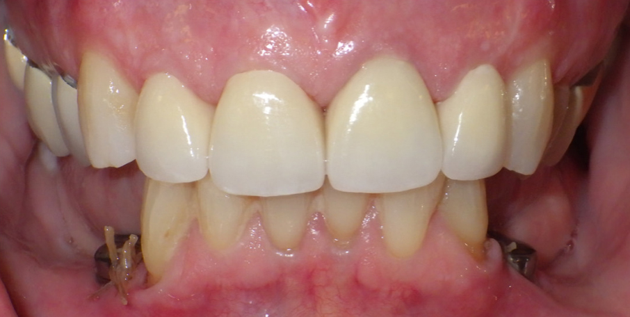
Real Smile Transformations From Our Elmhurst Dental Patients

Before

After

Before

After









